Download Full PDF Package. He was a case of methanol and ethanol toxicity who developed acute chest pain loss of consciousness bilateral hemorrhagic necrosis of Basal ganglia acute tubular necrosis and finally blindness.

Clinical Analysis Of Severe Visual Loss Caused By Inhalational Methanol Poisoning In A Chronic Process With Acute Onset A Retrospective Clinical Analysis Springerlink
Scrimgeour EM Dethlefs RF Kevau I.
Methanol poisoning blindness. Methanol intoxication may be associated with severe damage to the visual pathways potentially leading to permanent blindness. Breathing difficulty Blurred vision Pupil dilation Weakness and fatigue Leg cramps Weakness Low blood pressure Agitated behavior Confusion Difficulty walking Dizziness Headache Bluish-colored lips and fingernails Diarrhea Nausea Severe abdominal pain Liver. Its often associated with incorrectly distilled liquor.
The earliest signs of methanol poisoning can be hard to distinguish from the normal effects of alcohol. In an outbreak of methanol intoxication involving 320 people Benton et al stated that in cases of visual impairment or blindness if vision did not return to normal within 6 days recovery was not complete and the vision deteriorated1 Other reported cases of methanol intoxication. Histopathological studies of animal models and of human post-mortem cases described alterations of the retinal pigment epithelium RPE with focal detachments and swollen RPE cells.
Methanol intoxication even in small amounts is very dangerous because it can cause severe visual dysfunction including irreversible bilateral blindness metabolic disturbances permanent neurological dysfunction and even death. Both patients presented acute bilateral loss of vision a few days after methanol ingestion with no sign of recovery. These intoxications were secondary to the consumption of adulterated liquor.
Methanol is a widely available chemical with a range of uses including as a solvent in chemical synthesis and as a fuel. The major complication of methanol poisoning is loss of vision including partial or total blindness. Retinal toxicity from methanol has also been reported with a reduction of the ERG b-wave secondary to lesions to the outer retina.
A short summary of this paper. 3 A major catastrophe in 1951 documented 323 cases of methanol toxicity after intake of bootleg whiskey containing 35-40 methanol later published as a comprehensive study by Benton and Calhoun in 1953. Methanol the simplest alcohol is extremely poisonous and can cause harm if swallowed inhaled or absorbed through the skin.
We report two recent cases of methanol intoxication in French patients living in Bali. Formic acid inhibits cytochrome oxidase and is the cause of ocular toxicity. Although it is assumed that ingestion of 30100 mL of methanol may cause death death from methanol may occur even after ingestion of 15 mL of 40 methanol.
1 2 Ingestion of liquor has been implicated in methanol toxicity as early as 1904 with the publication of Wood and Bullers report on 153 cases of blindness caused by methyl alcohol poisoning. Total blindness developed in an adult Melanesian man 36 hours after he drank 100 mL of 100 methanol. Long term outcomes may include blindness and kidney failure.
Alterations in light color and depth perception may also occur 1 2. Acute methanol poisoning characteristically causes metabolic acidosis as well as neurologic and ocular toxicity. Pediatric Emergency Medicine 2008.
Adverse health effects from methanol poisoning may not become apparent until after an asymptomatic period. Methanol has a relatively low intrinsic toxicity however it is metabolised to highly toxic compounds which can cause blindness coma and metabolic disturbances that can be life-threatening1. The manifestations of ocular toxicity may vary but commonly include visual disturbances ranging from blurry or cloudy vision to total vision loss.
The lethal dose of methanol in humans is not fully established. Symptoms of methanol poisoning can include. Ocular toxicity produced by formate.
Journal of Postgraduate Medicine 2014. The presentation of methanol toxicity can vary from mild symptoms to life-threatening. Methanol poisoning with blindness and putaminal necrosis - was metabolic acidosis missed.
Methanol s toxicity is due to its metabolic products. Methanol poisoning causes metabolic acidosis and may lead to blindness encephalopathy andor multisystem organ failure. Alterations of the morphological findings of the retina and optic nerve.
37 Full PDFs related to this paper. On admission to hospital he. Google Scholar Martin-Amat G McMartin KE Hayreh SS Hayreh MS Tephly TR.
Delayed recovery of vision after blindness caused by methanol poisoning. At first symptoms of methanol toxicity could be similar to alcohol toxicity.

Severe Metabolic Acidosis Secondary To Methanol Poisoning 4 3 2019 Santa Clara Valley Medical Center Internal Medicine Residency

Pdf Methanol Poisoning Semantic Scholar

Occupational Blindness From Chronic Methanol Intoxication Semantic Scholar
Methanol Optic Neuropathy Rapid Blindness Tropical Ophthalmology

Fundus Photography 2 Months After Methanol Intoxication Showed Optic Download Scientific Diagram

Masi Man Blind After Methanol Poisoning False Bay Echo

Scielo Brasil Neuropatia Optica Toxica Por Inalacao De Metanol Neuropatia Optica Toxica Por Inalacao De Metanol

Acep American College Of Emergency Physicians
Emdocs Net Emergency Medicine Educationem 3am Methanol Toxicity Emdocs Net Emergency Medicine Education

Methanol Poisoning Two Case Studies Of Blindness In Indonesia Semantic Scholar

Ethylene Glycol Methanol Poisoning Emcrit Project

One Last Drink Methanol Poisoning Southeast Asia Globe

Visual And Neurologic Sequelae Of Methanol Poisoning In Saudi Arabia Abstract Europe Pmc

Progressive Cupping After Methanol Intoxication Fundus Photography Of Download Scientific Diagram

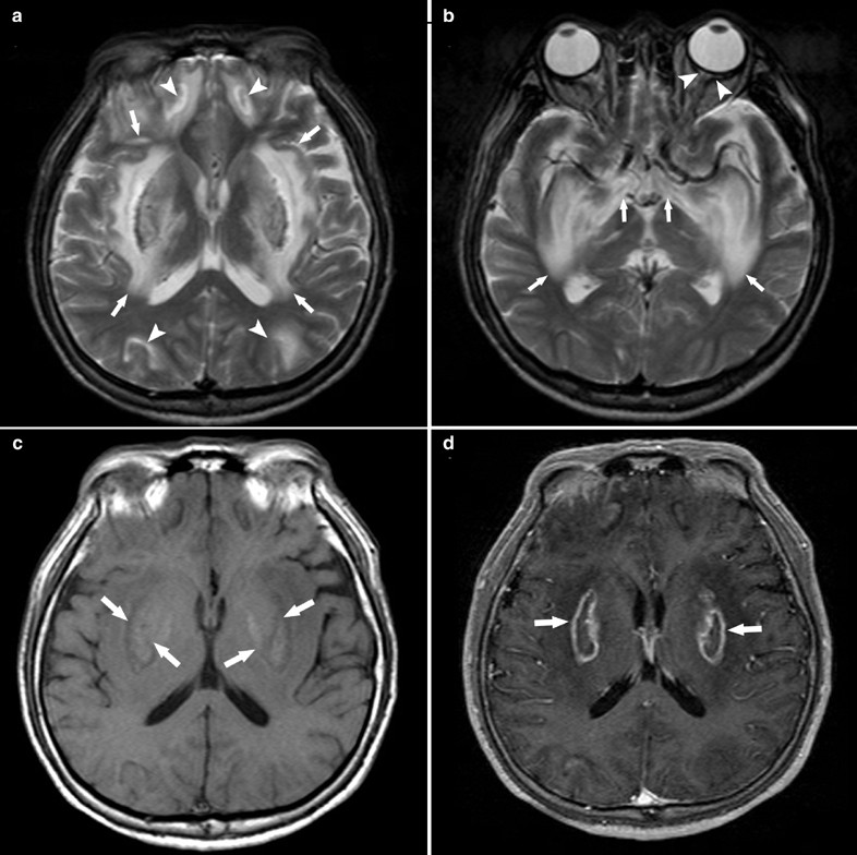
Ocular Manifestations And Mri Findings In A Case Of Methanol Poisoning Eye

0 komentar:
Posting Komentar